午夜,急诊。
我们医院在市中心,急诊的病人从来都只会多,不会少。喝多了在大厅撒酒疯的男人,捂着肚子不知道是阑尾炎还是宫外孕的女人,还有一个初出茅庐但自认为已经稳如老狗的值班医生——我。
就是这天晚上,我遇到了这个让我终身难忘的病人。
病人是出车同事送进来的,身材相当瘦弱,甚至有些干瘪。接到时已经失去意识,刚刚被 CPR 按回来。旁边陪着一个满脸胡渣的中年男人,是她丈夫。
「医生啊,我老婆她喝了一大瓶酱油就变成这样了!怎么办啊!」
「什么时候喝的?」
「2 个小时前。」
「喝了多少?」
男人用手比划着酱油瓶的大小,看这个架势,至少得有两斤。
酱油中含有大量的钠。一大勺(10 毫升)酱油中就有 1.5~2 克的氯化钠,每日推荐的食盐总量才 6 克,而食盐的致死量是 40 克。
酱油下肚,氯化钠在小肠被吸收进入血液。换算下来,相当于病人在短时间内吃掉了 150~200 克食盐,是致死量的 4~5 倍。
01
考虑到「喝酱油」的特殊病史,我莫得丝毫犹豫,先给她挂上了 5% 的葡萄糖溶液,同时在心里默默盘算着:先继续问清楚病史,如果输完葡萄糖血钠还是降不下来,就再加一些排钠的利尿药,同时联系肾内科随时准备做透析。
「病人之前有没有生病?」
男人点点头,指了指脑袋,「我老婆这里有点问题的,她老是觉得有人要害她,又不肯好好吃东西,这段时间瘦了 20 多斤了……之前我送她去精神科住院,治了好久也不见好。」
由于之前在急诊见过太多类似「家庭暴力后说老婆精神有问题」的狗血剧情,我没有完全相信他的话,而是打开了病历系统。
没想到,患者确实有在精神科的就诊记录,之前的入院诊断是「偏执型精神分裂症」。
病历记录显示,患者从半年前开始感觉「有人在监听、监视自己,给食物下毒」,所以只肯吃「绝对安全的」面包和罐头。住院期间还请过营养科会诊,发现她有缺铁性贫血和部分维生素缺乏。精神科给患者换过多种抗精神病药物,但无一奏效。
「为什么要喝酱油?」我打断了他。
男人苦笑了一下,「她自己找的偏方,说是酱油里有很多盐,可以把体内的毒素吸出来,再随着尿液排出体外。」
这偏方听得我两眼一黑。
「我也以为没人会信的,谁知道今天她真的买了一大瓶酱油回来,一口气全喝了,然后就跟我说手上、脚上都像针扎一样痛,心越跳越快,肚子越来越疼,她边疼边哭……」说到这里,他当着所有人的面哭了起来。
他这一哭,算是让我彻底打消了之前所有的怀疑。「那她是怎么昏倒的?」
「她说要去厕所,我在客厅听到咚的一声,才发现她倒在里面了。」
出车的同事在一旁补充道,「赶到现场时患者已经失去意识,那个时候还有正常的呼吸和心跳。接到救护车上后,给她上了心电监护、吸了氧气。」
赶回医院的路上,患者的心率开始逐渐升高,然后心跳呼吸就突然没了,幸亏出车同事轮流做 CPR 把她成功地按了回来。
高钠血症指的是血清钠高于 145 mmol/L 的状态,由于体液环境中的钠快速升高,细胞膜内外的渗透压平衡被打破,细胞内的水被「抽」出细胞,因此细胞会呈现出皱巴巴脱水的状态。
一般来说,高钠血症患者的初期症状可能不怎么明显,但当发展到急性高钠血症时,脑细胞大量失水,脑血液供给不足,患者通常会神志恍惚、烦躁不安、有时还会有抽搐、惊厥,进入昏迷状态乃至死亡。
其他文献还报道过高钠血症还能导致的急性肾衰、急性心梗及与 QT 间期延长有关的心动过速。
足足挂了 5 升葡萄糖溶液之后,患者的血钠终于逐渐下降到正常范围。她偶尔会睁开眼睛喊几声丈夫的名字,整体意识还是处于嗜睡状态,但至少目前可以不用做透析了。
02
第二天是我的轮休,这个病人也就转给了我的同事昊哥。
等我过几天问起来,昊哥一脸无奈:「她的血钠是正常了,人也确实醒了,但说不出话,手脚也完全没法动。我让她抬手,她只能微微点头表示自己听到了,但根本没办法按我们说的做。」
于是乎,神经内科的会诊被请了过来。
会诊记录倒是相当给力:经过详细的神经科体格检查,认为患者出现了运动型言语障碍(发音的肌肉受损或麻痹)、吞咽困难、突发性的四肢弛缓性瘫(由于四肢肌肉失去肌张力而导致的运动障碍),建议做 MRI 明确病灶。
MRI 结果(图源:参考资料 1)
已经许久不看颅脑 MRI 的我稍微喵了几眼图片,就直接跳到了报告那一页。
啊——原来是它!
这个病确实是个「最熟悉的陌生人」,在我仅存的记忆里,它一般只出现在低钠血症患者的血钠被快速升高的时候,难道急性高钠血症也会导致这个病吗?
我喵了一眼神经内科的师姐,她先是夸了我记的没错。
「脑桥中央髓鞘溶解症(Central Pontine Myelinolysis)是一种罕见的脱髓鞘疾病,它确实通常发生在你说的那种情况,低钠血症病人的纠正速度太快。」

脑桥中央髓鞘溶解症(图源:参考资料 5)
师姐指了指我手上的片子,补充道:「但之前也早有文献报道,这个患者的急性高钠血症也可能造成。其实这个患者的症状相当典型。当然,其他患者还有可能出现意识障碍、抽搐、惊厥之类的症状。」
由于脑桥基底部对称性脱髓鞘的病灶,神经内科给病人上了糖皮质激素。经过一段时间的多科室联合治疗,她的神经功能也在逐步恢复。
但事情显然没有这么简单。
03
一天,我在食堂见到昊哥,他一阵坏笑,拍了拍我:「还记得那个喝酱油的病人吗?你猜她的最终诊断是什么?」
我表情冷漠,「不就是难治性的精神分裂症导致的一系列问题而已嘛。」
他摇了摇头,「小伙子,你的临床思考还是不够深入啊!」
我算是反应过来了,他刚才看到我露出的那一脸坏笑,就是做好准备要来打我的脸的。我们干脆找了张桌子坐下来,边吃边聊。
「你记不记得病人很瘦?她老公说她瘦了 20 多斤。」昊哥见我点头,继续说下去,「我们当时考虑会不会是副肿瘤综合征,但是查了个底朝天也没找到肿瘤。」
如果不是肿瘤,病人为什么瘦的这么快?
「我记得她之前住院查出过缺铁性贫血和维生素缺乏,而且因为精神疾病,只肯吃面包和罐头。」
「对头!」昊哥对我的回答很满意,「而且她是怎么做到一口气喝了两斤酱油的?这么高盐分的东西喝到胃里,正常人肯定一下子就胃痉挛,哗啦啦全吐出来了,她居然能喝完,我们就开始怀疑她胃肠道有问题。」
再加上患者有「换了好几种药都治不好」的偏执型精神分裂症病史,他们从肿瘤转变了思路:是不是病人确实吃了药,但肠胃压根就吸收不了?
于是,他们再一次向患者丈夫求证发病细节,又得到了一个重要信息:病人是在吃了一段时间面包之后,才开始发了疯地觉得「总有刁民想害朕」,也更加坚定地认为只有面包和罐头是安全的食物。
难道真的是胃肠道的问题?
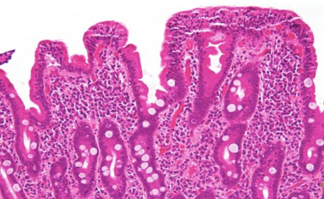
「我们直接让她做了胃、肠镜,在十二指肠取了样做病理。你猜怎么着?」
说到这里,他专门停了下来,一脸得瑟地看着我。
「别卖关子赶紧的!」我把碗里最后一根鸡腿夹给他。
昊哥收了鸡腿,揭开谜底:「看到病理结果的时候我们都惊呆了!又做了一个血清抗 TG2 抗体的检查,结果是阳性。」

镜下所见:肠绒毛变钝、萎缩
04
这个病理结果和 TG2 抗体阳性意味着什么?
我们在超市买东西的时候,偶尔会见到「不含麸质」的标签,因为有一些人会对麸质,也就是我们俗称的面筋或者麦胶过敏。
这名患者得的正是这个病:乳糜泻,由麦胶蛋白和麦谷蛋白在基因易感个体介导的全身免疫性疾病,也就是人体不适应麸质而引起的过敏反应。
肠道发生炎症,肠上皮细胞受到损伤,肠粘膜萎缩,营养成分吸收就会出现障碍,久而久之,也就会出现贫血、骨质疏松之类的并发症。
作为一个自身免疫性的疾病,乳糜泻累及范围实在太广:本身消化的腹泻腹胀、皮肤的疱疹样皮炎、免疫的 IgA 缺乏症、脾功能障碍、风湿的关节痛……而且得过乳糜泻的病人还容易得其他的自身免疫病,比如 I 型糖尿病、桥本甲状腺炎。
「这个病其实啥症状可能出现,上到脑袋,下到腿脚,实在是太复杂了,这个患出现的精神症状就真是太怪了!」昊哥边啃我的鸡腿边感叹了一句。
有文献表明,早在 70 年前已经有医生提出乳糜泻和精神分裂症有一定的相关性。更进一步的研究证实,乳糜泻患者在改变他们的饮食习惯,不吃含有麸质的食物后,精神症状就能够大大缓解。
我一边看着昊哥啃鸡腿,一边在脑子里飞快地过了一遍时间轴,梳理起这个病人复杂而漫长的病史。
这名患者在人生中某个阶段,因为某些不明原因产生了对麸质的高敏感性,又在不经意间改变了一次饮食习惯,导致她出现偏执的精神症状,却因为长时间没能得到最准确的诊断而延误病情。
正因为久治不愈,她听信了网上「酱油排毒」的传言,造成了这一场「闹剧」,真是令人有些唏嘘。
又过了一段时间后,我从昊哥那里听说,尽管受到脑桥中央髓鞘溶解症后遗症的影响,病人的神经症状没办法完全恢复,但在戒掉面包之后,她的体重也慢慢恢复到正常的水平,偏执的念头也完全消失了。
反而是我,现在一看到超市里那种一大瓶的酱油,胃里就一阵翻江倒海。(监制:gyouza)
感谢伊利诺伊大学 Bernard Hsu(@Chubbyemu) 提供并授权使用该病例
致谢:本文经 复旦大学附属华山医院神经内科主任医师 郁金泰、浙江大学附属第二医院消化内科主任医师 陈焰、浙江大学附属第二医院精神科副主任医师 潘冰、贵州医科大学附属医院急诊科医生 罗胜 专业审核
【注】
浙江大学附属第二医院消化内科主任医师 陈焰 审核意见:
乳糜泻是一种复杂的自身性免疫疾病,其发病是由于遗传因素和环境因素之间复杂相互作用而造成。遗传易感个体摄入小麦、黑麦和大麦等含麸质较高的食物可引起。十二指肠活检、胶囊内镜和相关抗体检测对确诊有重要意义。
乳糜泻患者的组织学异常改变,包括小肠绒毛部分至全部萎缩,隐窝延长,绒毛/隐窝比下降,肠上皮内淋巴细胞增多,固有层浆细胞、淋巴细胞、肥大细胞和嗜酸性细胞浸润:此外可见小肠刷状缘缺乏、肠上皮细胞异常变平。
患者可出现持续不明原因的胃肠道症状、不同程度的营养不良如骨质疏松、贫血等,也可合并合并其他自身免疫疾病。无麸质饮食治疗是核心治疗策略。
浙江大学附属第二医院精神科副主任医师 潘冰 审核意见:
乳糜泻可以出现精神症状,甚至可以以这些症状为主要临床表现,容易造成误诊和漏诊。这些症状包括可以包括以幻觉妄想为主的精神分裂症样症状,也可以是情绪为主要表现的抑郁症状,还有焦虑症状,甚至会出现多动及注意缺陷症状、自闭谱系疾病症状等。病因尚不明确,可能涉及乳糜泻引起的代谢方面、疾病抗体的同源性等方面。但是文中的个案究竟是先有乳糜泻,还是先是进食异常这个精神症状,诱发消化系统问题。还是乳糜泻加重,诱发精神症状的加重(出现精神病性症状),仍然可以近一步探讨。
贵州医科大学附属医院急诊科医生 罗胜 审核意见:
本例患者以昏迷入院,已经出现过心肺骤停,而且考虑与高钠血症密切相关。临床角度上是需要行 CRRT 的。即使不用 CRRT,这个患者也需要收入 ICU 行目标体温管理。
题图来源:图虫创意
参考资料:
1)@Chubbyemu YouTube:
https://www.youtube.com/watch?v=QiBpKuTrFrw&t=612s
2)《内科学》,人民卫生出版社
3)丁香医生:如何买到一瓶好酱油?https://dxy.com/article/7097
4)Arambewela MH, Somasundaram NP, Garusinghe C. Extreme hypernatremia as a probable cause of fatal arrhythmia: a case report. J Med Case Rep. 2016;10(1):272.
5)Talluri S, Charumathi R, Khan M, Kissell K. Atypical presentation of central pontine myelinolysis in hyperglycemia. Endocrinol Diabetes Metab Case Rep. 2017 Sep 4;2017:17-0064.
6)
https://www.ncbi.nlm.nih.gov/pmc/articles/PMC3641836/
7)Bushara KO. Neurologic presentation of celiac disease. Gastroenterology 2005;128:Suppl 1:S92-97
相关文章
我们医院在市中心,急诊的病人从来都只会多,不会少。喝多了在大厅撒酒疯的男人,捂着肚子不知道是阑尾炎还是宫外孕的女人,还有一个初出茅庐但自认为
FlashFXP绿色版网盘下载,附激活教程 3222
FlashFxp百度网盘下载链接:https://pan.baidu.com/s/1MBQ5gkZY1TCFY8A7fnZCfQ。FlashFxp是功能强大的FTP工具
Adobe Fireworks CS6 Ansifa绿色精简版网盘下载 3133
firework可以制作精美或是可以闪瞎眼的gif,这在广告领域是需要常用的,还有firework制作下logo,一些原创的图片还是很便捷的,而且fireworks用法简单,配合dw在做网站这一块往往会发挥出很强大的效果。百度网盘下载链接:https://pan.baidu.com/s/1fzIZszfy8VX6VzQBM_bdZQ
navicat for mysql中文绿色版网盘下载 2770
Navicat for Mysql是用于Mysql数据库管理的一款图形化管理软件,非常的便捷和好用,可以方便的增删改查数据库、数据表、字段、支持mysql命令,视图等等。百度网盘下载链接:https://pan.baidu.com/s/1T_tlgxzdQLtDr9TzptoWQw 提取码:y2yq
火车头采集器(旗舰版)绿色版网盘下载 2999
火车头采集器是站长常用的工具,相比于八爪鱼,简洁好用,易于配置。火车头能够轻松的抓取网页内容,并通过自带的工具对内容进行处理。站长圈想要做网站,火车头采集器是必不可少的。百度网盘链接:https://pan.baidu.com/s/1u8wUqS901HgOmucMBBOvEA
Photoshop(CS-2015-2023)绿色中文版软件下载 2969
安装文件清单(共46G)包含Window和Mac OS各个版本的安装包,从cs到cc,从绿色版到破解版,从安装文件激活工具,应有尽有,一次性打包。 Photoshop CC绿色精简版 Photoshop CS6 Mac版 Photoshop CC 2015 32位 Photoshop CC 2015 64位 Photoshop CC 2015 MAC版 Photoshop CC 2017 64位 Adobe Photoshop CC 2018 Adobe_Photoshop_CC_2018 Photoshop CC 2018 Win32 Photoshop CC 2018 Win64